Стационар: ул. Фортунатовская дом 1, корп.10
Диагностика повреждений связок голеностопного сустава
Методы обследования пациентов с острой и хронической нестабильностью в области голеностопного сустава: клинические — осмотр (проведение функциональных тестов), анкетирование пациентов по шкалам VAS и адаптированным шкалам AOFAS и AOFAS – Hindfoo; визуализационные неинвазивные — рентгенография, ультразвуковое исследование, мультиспиральная компьютерная томография, магнитно-резонансная томография; визуализационные инвазивные — лечебно-диагностическая артроскопия; функциональные — стабилометрия и видеоанализ ходьбы.
КЛИНИЧЕСКИЙ ОСМОТР
При сборе анамнеза важно выяснить обстоятельства травмы, механизм повреждения, время, прошедшее с момента травмы. Выраженность и характер клинической картины повреждений голеностопного сустава зависят от механизма травмы, характера повреждения, возраста и конституции больного, а также от срока, прошедшего с момента травмы, характера и качества оказания первой медицинской помощи и ряда других факторов. Супинационная травма голеностопного сустава приводит к дистракции в области наружного отдела сустава и компрессии медиального отдела сустава [Van Dijk, C. N. et al. 2008; Vaseenon T, Gao Y, Phisitkul P., 2012]. На рисунке 4.1. представлен механизм повреждения латерального связочного комплекса голеностопного сустава при супинации стопы.

Рис. 4.1. Механизм повреждения латерального связочного комплекса голеностопного сустава при супинации стопы.
Пациенты с повреждением наружных связок голеностопного сустава нередко описывают ощущение щелчка и «разрыва чего-то» в области голеностопного сустава, которые иногда слышно ухом [Young, C. C.et al.,2005]. Наиболее частые жалобы пациентов: чувство нестабильности, эффект страха подворачивания стопы, боль, отек, ограничение разгибания стопы, сложности при ходьбе по неровной поверхности, ограничение занятия спортом, необходимость постоянно использовать ортопедических изделий (брейсы, тейпы). Нередко они отмечают только боль и чувство неустойчивости в суставе. Травмы случаются во время бега, особенно с резкими поворотами, либо в момент приземления после прыжка (нередко при приземлении не на ту ногу, на которую спортсмен приземляется обычно). Если пациент помнит детали травмы, то он может описать инверсию, подошвенное сгибание стопы или внутреннюю ротацию голени. «Обязательным объективным симптомом при травмах связок голеностопного сустава является отек. Отек и боль возникают непосредственно после травмы. Как правило, отек нарастает постепенно. В первые часы после травмы возникает локальное опухание в проекции поврежденной связки, но спустя суток отек становится разлитым» [Young, C. C.et al., 2005].
Пальпаторно определяют температуру кожных покровов, характер пульсации на периферических артериях стопы, чувствительность и возможность движений стопой и пальцами, что исключает повреждение нейроваскуляторных структур. Также важно выяснить время появления отека, точную локализацию боли. В течение первых часов нарастает гематома, от истинного отека она отличается локальным характером и мягкоэластичной консистенцией.
При физикальном обследовании обнаруживается ограничение тыльного, подошвенного сгибания и инверсии стопы. Знание анатомии связок позволит врачу последовательно пропальпировать каждую из них. Тщательная пальпация кончиками пальцев каждой из потенциально поврежденных связок голеностопного сустава нередко позволяет уже на этом этапе установить правильный клинический диагноз. При разрыве дельтовидной связки болезненность локализуется несколько ниже верхушки внутренней лодыжки и увеличивается, если стопе придается положение пронации и абдукции. При отсутствии перелома внутренней лодыжки, т. е. патологической подвижности внутренней лодыжки, при пальпации отмечается подвижность таранной кости в вилке голеностопного сустава во фронтальной плоскости, что увеличивает внутреннее таранное пространство между неповрежденной внутренней лодыжкой и блоком таранной кости [Croy T. et al.2013].
Наиболее важными находками в ходе физикального обследования являются отек, гематома, боль при пальпации и симптом переднего выдвижного ящика.
После травмы голеностопного сустава необходимо четко разделить, что это – простое «растяжение» связок или разрыв, поскольку лечение может быть разным и лучшие исходы возможны только при адекватном лечения этих повреждений (Van Dijk et al., 1996).
Пациенты с полным разрывом одной из связок или сочетанными повреждениями двух и более связок отмечают трудности при ходьбе, хотя далеко не всегда.
Наиболее важными находками в ходе физикального обследования являются отек, гематома, боль при пальпации и симптом переднего выдвижного ящика.
В наиболее свежих случаях физикальное обследование не отличается высокой информативностью, поскольку, например, тот же симптом переднего выдвижного ящика оценить невозможно ввиду достаточно выраженного болевого синдрома. Через несколько дней после травмы отек, и боль в той или иной мере купируются, и может стать понятным, что причиной их были отек и гематома (рис. 4.2).
Необходимо помнить, что чем больше времени проходит между травмой и клиническим обследованием, тем ниже специфичность такой пальпаторной болезненности. Во время исследований травмированного голеностопного сустава важное значение имеет проведение сравнения с противоположным не травмированным суставом [Van Dijk C. N.,1996].
Боль при пальпации спустя несколько дней становится более локализованной и появляется возможность провести тест переднего выдвижного ящика. Если при подозрении на повреждение передней таранно-малоберцовой связки пациент не отмечает болевых ощущений, говорить о ее разрыве нельзя. Боль при пальпации в проекции этой связки в свою очередь не позволяет отличить разрыв от растяжения. Боль при пальпации в сочетании с гематомой с 90% вероятностью позволяет говорить о разрыве связок (рис.4.3).

| Рис. 4.2. Фото пациента, несколько часов назад получившего супинационную травму голеностопного сустава, которая привела к разрыву передней таранно-малоберцовой связки (выявлен при артрографии). С наружной стороны голеностопного сустава отмечается выраженный отек. Красным обозначены зоны болезненности при пальпации. При этом болезненность отмечается, в том числе в области внутренней поверхности голеностопного сустава. |

| Рис. 4.3. Тот же пациент, что на рис. 4.2, но через 5 дней после травмы. Видна гематома по наружной поверхности. Боль при пальпации на этот раз локализовалась в области прикрепления передней таранно-малоберцовой связки к малоберцовой кости и в области передней капсулы сустава. |
Среди клинических проб, используемых для диагностики острой и хронической нестабильности голеностопного сустава, выделяют тест наклона таранной кости и тест переднего выдвижного ящика. Тест наклона таранной кости в клиническом плане является непрактичным и ненадежным [Van Dijk C. N. et al. 1996; Vaseenon T.et al. . 2012; F. Halabchi et al.,2016]. Наиболее важным стабилизатором голеностопного сустава является передняя таранно-малоберцовая связка. При инверсионной травме именно эта связка повреждается первой. Поэтому именно тест переднего выдвижного ящика является наиболее информативным клиническим тестом, используемым для диагностики острой и хронической нестабильности голеностопного сустава. Причиной увеличения переднего смещения таранной кости в голеностопном суставе может быть разрыв или удлинение передней таранно-малоберцовой связки. Существует несколько способов проведения теста переднего выдвижного ящика [Van Dijk, C. N. et al. 1996;].
В специальной литературе описаны несколько способов проведения теста переднего выдвижного ящика, в положении лежа и сидя. Однако отмечено, что в положении лежа проводить тест переднего выдвижного ящика не рекомендуется, поскольку непосредственно увидеть выдвижной ящик такое положение не позволит, так как в этом положении пациент не сможет полностью расслабить мышц голени, что не даст возможности полноценно провести тест (рис.4.4)..

Рис. 4.4. Не правильное способы проведения теста переднего выдвижного ящика в положении лежа на спине.
(а) Пациент лежит на животе, стопа и голеностопный находятся за краем стола. Исследующий одной рукой захватывает пятку пациента и смещает ее вперед. При разрыве передней таранно-малоберцовой связки таранная кость смещается кпереди относительно вилки голеностопного сустава больше, чем на здоровой стороне.
(b) Пациент лежит на спине, нога согнута в тазобедренном и коленном суставах. Пятка упирается в поверхность стола. Исследующий одной рукой захватывает стопу, другой – нижнюю треть голени и затем быстро и неожиданно для пациента смещает ее назад.
(с) Пациент лежит на спине, нога выпрямлена. Исследующий удерживает стопу пациента на весу, а другой рукой смещает голень назад. Для кого-то может быть предпочтительным удерживать на весу голень и смещать вперед пяточную кость/стопу.
При правильном проведении теста переднего выдвижного ящика, пациент не лежит, а сидит на краю стола (рис.4.5). Нога свешивается вниз, колено сгибается до 90°. В данном случае проводится исследование правого голеностопного сустава. (b) Тест переднего выдвижного ящика. Таранная кость (вместе со стопой) выходит из вилки голеностопного сустава при ротации стопы. Центром этой ротации является интактная дельтовидная связка. Стопа двигается в направлении, указанном стрелкой. Исследующий при проведении теста должен «направить» стопу в этом направлении. (c, d).

| Рис. 4.5. Правильное положение пациента при проведении теста переднего выдвижного ящика (а). Пациент лежит на спине. Бедро остается на столе, коленный сустав согнут. Голеностопный сустав удерживается в положении подошвенного сгибания 10-15°. (b) Если пациент волнуется или напряжен, то необходимо постараться его расслабить, взяв свободно свисающие передний отдел/пальцы стопы и аккуратно подвигав ногой в различных направлениях. Это могут быть ротационные движения бедра, разгибание в коленном суставе. (с) Аккуратное сгибание и разгибание пальцев и голеностопного сустава. (d) Аккуратная инверсия и эверсия стопы (е) для того, чтобы убедиться в расслаблении всех мышц, которые могут мешать проведению теста переднего выдвижного ящика. |
При правильном проведении теста переднего выдвижного ящика, голень пациента должна свободно свисать (колено согнуто). Исследующий захватывает пятку пациента с смещает ее вперед. При разрыве передней таранно-малоберцовой связки тотчас кпереди от верхушки наружной лодыжки появляется втяжение кожи (рис.4.6). Смещение таранной кости вперед приводит к появлению в суставе отрицательного давления, при приводит к втяжению кожи в проекции разрыва связки. Величина смещения таранной кости относительно голени при разорванной передней таранно-малоберцовой связки обычно составляет 1 см.

| Рис. 4.6 Положительный тест переднего выдвижного ящика и положительный симптом втяжения. А — без нагрузки; В — в условиях нагрузки. |
В большинстве случаев, когда проводится тест переднего выдвижного ящика, стопа смещается кпереди относительно голени. Для этого голеностопному суставу придают положение подошвенного сгибания 10-20°. Такой способ выполнения теста не совсем верен и сопровождается высоким риском получения ложноотрицательных результатов.
Показано, что передний выдвижной ящик, — это не прямолинейное смещение таранной кости относительно большеберцовой, но ротационное движение [Van Dijk, C. N. et al. 1996]. Такое ротационное смещение связано с сохранением целостности дельтовидной связки, которая фиксирует медиальную часть таранной кости, не позволяя ей смещаться вперед. Тест переднего выдвижного ящика заключается в смещении стопы вперед и ее внутренней ротации (Рис. 4.7) [Kerkhoffs G. M.et al.,2007].

| Рис. 4.7. Тест переднего выдвижного ящика: стопа смещается вперед и медиально, дельтовидная связка при этом выступает в качестве центра ротации. |
Чувствительность теста переднего выдвижного ящика составляет 73%, а специфичность 97%. Положительный симптом переднего выдвижного ящика в сочетании с болью при пальпации в проекции передней таранно-малоберцовой связки и гематомой в этой области обладают чувствительностью в 100% и специфичностью в 77%. Отсроченное физикальное обследование, таким образом, является достаточно ценным вариантом диагностики, отличающимся высокой чувствительностью и специфичностью [Van Dijk, C. N. et al. 1996; Kobayashi Tet al.,2014]. Решением согласительной комиссии общества ISAKOS оно было названо методов выбора
«Супинационный» тест предназначен для оценки целостности пяточно-малоберцовой связки и передней таранно-малоберцовой связки. Одной рукой врач фиксирует нижнюю часть голени, а другой прикладывает супинационную нагрузку к таранной и пяточной костям, если имеется повреждение пяточно-малоберцовой связки, будет выявляться повышенная инверсия по сравнению с нормой. Инверсия пяточной кости усиливает болевые ощущения или позволяет выявить нестабильность у пациентов с повреждением пяточно-малоберцовой связки. Достоверность этого теста мало изучена и тест подвергается сомнению. В свежих случаях бывает очень сложно отличить, какой сустав раскрывается при проведении этого теста – голеностопный или подтаранный. В свежих случаях при отсутствии анестезии этот тест нередко вообще невозможно провести из-за выраженного болевого синдрома. При любых травмах голеностопного сустава всегда необходимо оценивать состояние межберцового синдесмоза, поскольку частота повреждений в этой области также достаточно велика, однако часть их остается не диагностированной.
«Звуковой» тест (Cotton-тест) – применяется для оценки целостности связок межберцового синдесмоза. Захватывая пятку пациента одной рукой, а дистальную треть мало- и большеберцовой костей другой рукой, врач делает попытки сдвинуть таранную кость в сторону дистального соединению берцовых костей. Звонкий звук при выполнении теста возникает вследствии удара таранной кости о большеберцовую и малоберцовую кости и свидетельствует о повреждении связок межберцового синдесмоза.
«Пронационный» тест – позволяет оценить целостность дельтовидной связки. Нижняя часть большеберцовой кости захватывается одной рукой врача, а пятка – другой. Если при приложении пронационной нагрузки большеберцово-таранный сустав расширяется в медиальном направлении, тест считается положительным.
Тест «сжатия» – проксимальная компрессия вызывает боль в нижней трети голени. Тест свидетельствует о повреждении межберцового синдесмоза.
При тщательном обследовании врач может выявить у пациента признаки повреждения сухожилий малоберцовых мышц или задней большеберцовой мышцы, а также мелкие отрывные переломы в области малоберцовой, большеберцовой, пяточной, 5 плюсневой, кубовидной или таранной кости, минимально выраженный неврологический дефицит. Не следует забывать и о предрасполагающих к травмам голеностопного сустава факторах – варусная установка заднего отдела стопы, гипермобильность суставов, тарзальные коалиции. При тяжелых травмах связочного аппарата голеностопного сустава возможны мелкие повреждения кожных покровов, которые могут свидетельствовать о произошедшем в момент травмы открытом вывихе, который затем самопроизвольно устранился (рис.4.8).

| Рис. 4.8. Пример открытого вывиха в голеностопном суставе, характеризующегося минимальным повреждением кожных покровов. А, Открытая рана в области передне-наружной поверхности голеностопного сустава. B, Флюороскопическая картина: при минимальной нагрузке отмечается выраженный наклон таранной кости. |
При клиническом исследовании пациента при подозрении на перелом лодыжек обязательному осмотру подлежит не только область голеностопного сустава, но и весь сегмент «голень – стопа» поврежденной конечности. Пациент, как правило, не способен опираться на поврежденную конечность при ходьбе. Однако в ряде случаев, при переломах лодыжек без смещения, частичных повреждениях связочного аппарата в области голеностопного сустава, подголовчатых переломах малоберцовой кости, можно наблюдать пациентов, которые самостоятельно передвигаются с нагрузкой на поврежденную конечность.
Сложность диагностики состояния связок голеностопного сустава при хронической нестабильности состоит в том, что клинические симптомы, соответствующие свежим повреждениям связочного аппарата сустава (гематома, отек, ограничение движений), отсутствуют или слабо выражены [Магомедов, Х. Ш., 1988].
Литературные данные, лабораторные данные, клинический опыт и опыт хирургического лечения говорят нам о том, что наиболее часто из всех связок голеностопного сустава подвержена повреждению передняя таранно-малоберцовая связка. Большинство ее повреждений – это разрывы на протяжении, хотя встречаются и отрывы связки с костными фрагментами от малоберцовой или таранной кости.
Вторым по распространенности типом повреждения является сочетанный разрыв передней таранно-малоберцовой связки и пяточно-малоберцовой связки. Пяточно-малоберцовая связка также чаще всего рвется на протяжении, однако встречаются и отрывы ее от малоберцовой или пяточной кости. Изолированные разрывы пяточно-малоберцовой связки встречаются нечасто, однако они описаны и могут играть значение при развитии поздней нестабильности подтаранного сустава. Еще реже встречаются сочетанные разрывы передней таранно-малоберцовой связки, пяточно-малоберцовой связки и задней таранно-малоберцовой связки. Изолированные повреждения задней таранно-малоберцовой связки и сочетанные повреждения задней таранно-малоберцовой связки и пяточно-малоберцовой сязки встречаются еще реже.
Длительно сохраняющийся болевой синдром и жалобы на нестабильность после ранее перенесенной травмы голеностопного сустава могут быть проявлением 2 типов нестабильности: функциональной и механической. Функциональная нестабильность – это частая жалоба пациентов, отмечающих ощущение неустойчивости голеностопного сустава при отсутствии объективных структурных изменений. При функциональной нестабильности обычно эффективны проприоцептивные тренировки и укрепление мышц, обеспечивающих стабилизацию голеностопного сустава при ходьбе. Механическая нестабильность проявляется объективными признаками гипермобильности сустава, превышающей физиологический объем движений в этом суставе, и чаще всего является следствием несостоятельности связочного аппарата.
Повреждение связочного аппарата может приводит к гипермобильности сустава, однако причиной этой гипермобильности может быть и нейромышечный дефицит, являющийся следствием травмы нервных и мышечно-сухожильных образований. Нейромышечный дефицит может проявляться в виде нарушений баланса в пространстве, притуплением мышечно-суставного чувства, снижения скорости реакции малоберцовых мышц на инверсию голеностопного сустава, снижения скорости нервной проводимости, снижения силы мышц и ограничения тыльного сгибания голеностопного сустава. Посттравматические рубцовые изменения могут приводить к синдрому пазухи предплюсны или антеролатеральному импинджменту, которые в свою очередь могут вести к функциональной нестабильности голеностопного сустава.
РЕНТГЕНОГРАФИЯ ГОЛЕНОСТОПНОГО СУСТАВА
По завершении клинического обследования, на основании которого у врача должно сформироваться определенное впечатление о характере имеющейся травмы, назначается рентгенологическое обследование, которое в ряде случаев позволяет подтвердить наличие костных повреждений. В большинстве ситуаций рекомендуется рентгенография голеностопного сустава с трех проекциях: передне-задней, боковой и в укладке на синдесмоз. На стандартных рентгенограммах необходимо тщательно искать возможные признаки отрывных переломов, остеохондральных повреждений суставных поверхностей костей, скрытых переломов. Если ситуация позволяет, можно выполнить стресс-рентгенограммы, однако в большинстве свежих случаев выполнить их не удается.
Для отбора пациентов, нуждающихся в рентгенологическом обследовании, часто применяются критерии Оттава (Ottawa Ankle Rules). Рентгенография показана только тем пациентам, у которых зона болезненности ограничена лодыжечной областью плюс имеется еще любой один из следующих критериев: болезненность в области дистальных 6 см заднего края большеберцовой кости или верхушки внутренней лодыжки, болезненность в области дистальных 6 см задней поверхности малоберцовой кости или наружной лодыжка, невозможность нагрузки на ногу (4 шага) сразу после травмы или в отделении неотложной помощи. Согласно исследованиям, соблюдение этих правил обеспечивает практически 100% диагностику переломов и позволяет в то же время избавить пациента от рентгенологического исследования в случаях, когда оно не нужно. Несмотря на эти критерии, пациенты, которые попадают на консультацию к хирургу-ортопеду, нередко ранее уже были обследованы в отделении неотложной помощи или у врача общей практики, и скорее всего рентгенография им понадобится, поскольку названные критерии нередко пропускают такие переломы, как переломы латерального отростка таранной кости, переднего отростка пяточной кости, остеохондральные повреждения таранной кости и отрывы связок вместе с костными фрагментами.
При анализе рентгенограмм часто на месте отрыва связок удается отметить изменения правильности и четкости контуров или слабую тень рядом с местом прикрепления связок. В. И. Иванов (1969) описал признак разрыва связок, названный по аналогии с рентгенологическими изменениями симптомом «кратерообразного дефекта» или «снежной вершины» кроме нарушений целостности кости, часто на месте отрыва связок удается отметить изменения контуров или слабую тень рядом с местом прикрепления связок. Состояние малоберцовых связок оценивается по рентгенограммам, выполненным в переднезадней проекции с внутренней ротацией 15-20° и сгибанием конечности в голеностопном суставе 10°. Стопе придается положение аддукции или супинации и дается нагрузка 8-10 кг. Если появляющийся угол наклона таранной кости более 10° или в два раза больше, чем на здоровом голеностопном суставе, то можно говорить о разрыве таранно-малоберцовой и пяточно-малоберцовой связок.
Повреждение дистального межберцового синдесмоза определяется по рентгенограмме, выполненной в переднезадней проекции.
При рентгенографии голеностопного сустава в переднезадней проекции изображение малоберцовой кости наслаивается на большеберцовую кость. При ротации голени кнутри это наслоение значительно уменьшается или совсем исчезает. В иностранной литературе эта проекция получила название mortise, или «гнездо», из-за внешнего сходства рентгенологической щели сустава с гнездом.
Для получения в переднезадней проекции фигуры «гнездо» нужно уложить пациента так, чтобы межлодыжечная линия была параллельна плоскости рентгеновского стола и плоскость межберцовой вырезки совпала с плоскостью рентгеновских лучей [Хорошков С.Н.,2018]. Это положение достигается поворотом стопы кнутри на необходимый угол, который в каждом конкретном случае индивидуален, а не 10, 15, 25 или даже 50°, как дают рекомендации другие авторы. По нашему мнению, рентгенологическое исследование поврежденного голеностопного сустава, выполненное с ротацией стопы на запрограммированный угол, неизбежно приведет к возникновению погрешности в диагностике.
Это связано с особенностями анатомического строения дистального отдела сегмента «голень – стопа» у каждого конкретного исследуемого пациента. Глубина малоберцовой вырезки большеберцовой кости значительно варьирует в зависимости от пола, возраста и конституциональных особенностей индивидуума (С. А.Рейнберг.,1964; В. В. Галухин, 2010). Поэтому показатели повреждения дистального межберцового синдесмоза, выраженные в абсолютных величинах, не всегда достоверно отображают характер его повреждения. Ширина щели дистального межберцового синдесмоза и величина взаимного наслоения берцовых костей имеют диагностическое значение лишь в сравнении с рентгенограммой здорового голеностопного сустава, при условии если они обе выполнены в абсолютно одинаковых проекциях и с одинаковым углом ротации. Влияние внутренней ротации на рентгеновское изображение голеностопного сустава представлено на рис. 4.9. Сплошной линией на рис. 4.9 Б изображена межлодыжечная (би- моллеолярная) линия голеностопного сустава.

| Рис. 4.9. Влияние внутренней ротации на рентгеновское изображение голеностопного сустава (слева – положение конечности, справа – рентгеновское изображение):
А – прямая проекция; Б – внутренняя ротация |
Лечащий врач должен помнить, что подвывихи стопы или расхождение берцовых костей при разрыве дистального межберцового синдесмоза после прекращения действия силы травмирующего агента спонтанно, под действием эластической тяги оставшихся связок и мышц голени могут устраняться, что необходимо учитывать при клиническом обследовании пострадавшего в специализированном лечебном учреждении.
Поэтому постановка правильного диагноза разрыва дистального межберцового синдесмоза только по рентгенограммам без достаточного полного клинического обследования пациента будет неправильной.
Повреждение дистального межберцового синдесмоза определяется по следующим признакам, на которые указывают многие авторы (Г. К. Масловский, 1956; Е. И. Брусенская, 1993;Н. К. Витько с соавт., 2000; Г. Б Савчук., 2008; J.Bartonicek, 2003]:
- Расширение промежутка между берцовыми костями более 3 мм; уменьшение наложения тени переднего бугорка малоберцовой вырезки большеберцовой кости на малоберцовую; увеличение расстояния от наружного края малоберцовой кости до ее заднего бугорка.
- Увеличение промежутка между внутренней лодыжкой и внутренней поверхностью блока таранной кости.
- Смещение наружной границы блока таранной кости кнаружи от наружной границы большеберцовой кости.
- Уменьшение величины захождения наружной лодыжки на малоберцовую вырезку большеберцовой кости примерно на 10 мм, т. е. уменьшение расстояния между краем переднего бугорка и внутренним краем малоберцовой кости.
- Увеличение отношения расстояния между краем заднего бугорка малоберцовой вырезки большеберцовой кости и внутренним краем малоберцовой кости к расстоянию между передним и задним бугорками малоберцовой вырезки большеберцовой кости (в норме это расстояние равно 1/3 либо 1/2).
- Увеличение отношения величины расстояния между наружным краем малоберцовой кости и краем переднего бугорка малоберцовой вырезки большеберцовой кости к расстоянию между наружным и внутренним краями малоберцовой кости на том же самом уровне (в норме оно равно 2/3).
- Неравномерность суставной щели: расширение внутренней ее части и клиновидность горизонтальной суставной щели с вершиной клина, обращенной кнаружи.
Помимо проекционных признаков повреждения дистального межберцового синдесмоза, при изучении литературы выделены морфологические признаки разрыва связок дистального межберцового синдесмоза. Эти признаки были разделены на абсолютные и относительные.
К абсолютным признакам отнесены те, при которых характер перелома и величина смещения отломков достоверно указывают на разрыв или отрыв связок дистального межберцового синдесмоза:
- Отрывной перелом переднего бугорка межберцовой вырезки большеберцовой кости.
- Отрывной перелом заднего края дистального метаэпифиза большеберцовой кости.
- Полный вывих малоберцовой кости из малоберцовой вырезки большеберцовой кости.
- Центральный (верхний) вывих таранной кости.
К относительным признакам отнесены те, при которых смещение костных отломков достоверно не выявляет повреждения мест прикрепления связок дистального межберцового синдесмоза:
- Укорочение длины малоберцовой кости за счет смещения дистального отломка в проксимальном направлении при переломе выше дистального межберцового синдесмоза. Поскольку диаметр малоберцовой кости в области дистального межберцового сидесмоза увеличивается в дистальном направлении, то смещение его кверху невозможно без повреждения межберцовых связок и вывиха отломка из малоберцовой вырезки большеберцовой кости.
- Смещение таранной кости кнаружи, кзади или ее эверсионное смещение при переломе малоберцовой кости выше плоскости дистального межберцового сидесмоза.
- Уплощение наружного края большеберцовой кости на уровне дистального межберцового сидесмоза на рентгенограммах, выполненных в задней проекции.
Для правильной интерпретации рентгенологических данных необходимым условием является ориентация на исходную рентгенограмму поврежденного голеностопного сустава и сравнение ее с рентгенограммами неповрежденного голеностопного сустава обследуемого пациента.
Для выявления изолированного разрыва таранно-малоберцовой связки стопа фиксируется в положении сгибания 10° и внутренней ротации 20°, далее выполняется боковая рентгенограмма при выдвинутой стопе, «выдвижной ящик», с нагрузкой 10 кг в течение 1 минуты.
Наклон таранной кости оценивается по стресс-рентгенограмме в прямой проекции в условиях инверсии заднего отдела таранной кости. В литературе приводят различные способы проведения подобного исследования. Некоторые авторы проводят этот тест вручную, другие предлагают специальные приспособления со строго определенными силами воздействия. Laurin показал, что результаты при использовании того и другого метода примерно одинаковые. Тест может выполняться в условиях местной анестезии, общей анестезии или вообще без анестезии, однако имеющиеся в литературе данные говорят о том, что в свежих случаях он наиболее информативен только в условиях анестезии. Различные авторы рекомендуют проведение теста в положении тыльного сгибания, нейтральном положении или положении подошвенного сгибания (либо в различных положениях). Наконец, обсуждается положение коленного сустава при проведении этого теста – должно оно быть выпрямленным или согнутым. Обычно проводят тест в расслабленном положении стопы (некоторое подошвенное сгибание), колено при этом несколько согнуто, специальные фиксирующие стопу устройства не применяются.
Единого мнения относительно того, какой угол наклона таранной кости считать нормальным, а какой нет, не существует. В этой связи часто приводится исследование Rubin и Witten, в котором они проанализировали 152 нормальных голеностопных сустава и пришли к выводу, что разница в амплитуде наклона таранной кости может достигать 23°
Однако только в двух случаях этот угол превышал 20° и в шести случаях – 15°. Этому вопросу посвящено много различных исследований. Некоторые авторы отмечали весьма значительную вариабельность «нормальных» значений угла наклона таранной кости, тогда как другие говорили о более узких пределах этих значений. В 95% случаев угол наклона таранной кости в вилке голеностопного сустава на стресс-рентгенограммах не превышает 15°. Результаты сравнений двух противоположных суставов у одних и тех же людей также достаточно противоречивы и многие авторы считают нелогичным сравнивать два здоровых сустава одного и того же человека. В качестве порогового значения принят угол в 15° считается, что превышение этого значения с высокой долей вероятности может свидетельствовать о полном разрыве передней таранно-малоберцовой связки (и очень часто также и пяточно-малоберцовой связки). Положительные результаты исследования наклона таранной кости в нейтральном положении и при легком тыльном сгибании голеностопного сустава более характерны для полного разрыв пяточно-малоберцовой связки (рис.4.10-4.11).

Рис. 4.10-4.11. На представленных стресс-рентгенограммах голеностопного сустава отмечается значительный наклон таранной кости в положении легкого тыльного сгибания (DF) и подошвенного сгибания (PF). А, Здоровый сустав. В, Травмированный сустав.
Рентгенологические тесты, используемые для диагностики нестабильности голеностопного сустава, — тест на латеральную нестабильность/гипермобильность (наклон таранной кости) и тест на переднюю нестабильность/гипермобильность (переднее смещение таранной кости). О гипермобильности говорят в случаях, когда переднее смещение таранной кости превышает 10 мм или наклон таранной кости превышает 9°. Также о гипермобильности можно говорить, если разница переднего смещения таранной кости между функционально нестабильным голеностопным суставом и противоположным нормальным суставом у пациентов с односторонней нестабильностью превышает 3 мм и/или наклон таранной кости превышает 3°[Karlsson J. et al, 1989; Hoffman E. et al. 2011; Dowling L.B.et al.,2014; Cho J.H. et al. 2015; Liszka H.et al., 2016; ]
Тест переднего выдвижного ящика позволяет оценить состояние в первую очередь переднюю таранно-малоберцовую связку в положении легкого подошвенного сгибания стопы. При этом выраженность теста оценивается по рентгенограмме в боковой проекции, которая проводится непосредственно в момент выполнения теста – вручную или с помощью специальных приспособлений. В различных исследованиях отмечено, что в норме величина переднего подвывиха таранной кости варьирует в пределах 2-9 мм, в большинстве случаев это значение не превышает 4 мм (рис.4.12-3.13). Если величина переднего смещения превышает 5 мм, следует думать о разрыве передней таранно-малоберцовой связки.

Рис.4.12-4.13. Положительный результат теста переднего выдвижного ящика при стресс-рентгенографии. А, Здоровый сустав. В, Травмированный сустав.
Большинство авторов считают, что с появлением стресс-рентгенографии артрография голеностопного сустава утратила свои позиции, однако в ряде исследований показано, что артрография при травме голеностопного сустава отличается более высокой диагностической точностью по сравнению с клиническим обследованием и стресс-рентгенографией. Наверное, наиболее подходящим показанием к использованию этого метода исследования является подозрение на полный разрыв латерального связочного комплекса голеностопного сустава у спортсмена при невозможности проведения МРТ. Если исследование проводится в первые 24 часа после травмы, диагностическая ценность его еще более высока. Недостаток данной методики состоит в том, что она имеет объективную ценность в течение 2 суток с момента повреждения, поскольку после сгустки крови мешают распространению контраста.
Тенография малоберцовых сухожилий также может быть информативна в отношении диагностики разрывов пяточно-малоберцовой связки. Наиболее показана она при подозрении на одновременное повреждение малоберцовых сухожилий и пяточно-малоберцовой связки.
В последнее время обсуждается роль в диагностике свежих повреждений связок голеностопного сустава, однако доказательств информативности этого метода в этом отношении пока недостаточно.
Контрастная артрография и тенография сухожилий малоберцовых мышц относительно малоинформативны в отношении оценки протяженности повреждений связок и сухожилий при острых повреждениях, поэтому проведение их нецелесообразно и в настоящее время они применяются редко. Стандартизованные стресс-рентгенограммы могут использоваться как для дифференциальной диагностики, так выбора метода лечения. Основным их недостатком является ограниченная корреляция между функциональной стабильностью голеностопного сустава и его гипермобильностью, определяемой в ходе исследования.
Ультразвуковое исследование
Ультразвуковое исследование (УЗ) может применяться в качестве скринингового метода, особенно в случаях, когда обнаруживаются выраженные нестыковки между клинической и рентгенологической картиной. УЗ – простой, дешевый и неинвазивный метод исследования [Milz P.1998; Van Dijk, C. N., 2008; Cho J.H. et al. 2015]. Однако, как и КТ с МРТ, УЗ не позволяет визуализировать недостаточность связочного аппарата. Все эти методы у пациентов с хронической нестабильностью голеностопного сустава используются относительно редко. Milz, P.(1998), отмечают чувствительность УЗИ — 92%, специфичность составила — 83%.
Milz P.(1998) в своем исследовании сравнили результаты МРТ и УЗИ при свежих повреждениях связок голеностопного сустава и отметили, что УЗИ практически так же эффективно, как и МРТ в отношении дифференциального диагноза между поврежденными и интактными связками. Диагностическая ценность метода во многом зависит от навыков диагноста и он пока не является методом выбора, однако его можно выполнять непосредственно в офисе врача и он значительно дешевле по сравнению с МРТ.
Магнитно-резонансная томография
Магнитно-резонансная томография (МРТ) является единственным методом лучевой диагностики, который предоставляет возможность детально оценить состояние костного мозга, сухожильно-связочного аппарата и выявить стрессовые переломы, т. е. во время одного исследования позволяет визуализировать весь комплекс анатомических структур диагностируемой области [Н. К. Витько с соавт., 2000; В. Е. Синицын с соавт., 2008].
Патологические изменения в голеностопном суставе при МРТ выявляются на основании различий интенсивности сигнала в нормальных и патологических тканях.
Показаниями для магнитно-резонансной томографии голеностопного сустава являются:
- повреждения костей, имеющие признаки переломов, но не подтвержденные проведенной рентгенографией и компьютерной томографией;
- выявленный при рентгенографии и компьютерной томографии рассекающий остеохондрит таранной кости;
- авульсивные переломы лодыжек, пяточной и таранной костей;
- повреждения сухожильно-связочного аппарата;
- хронический болевой синдром голеностопного сустава и стопы;
- ранняя диагностика воспалительных осложнений переломов костей;
- объемные костные и мягкотканные образования;
- обследования пациентов со спорными результатами при применении других методов лучевой диагностики.
Одно из основных преимуществ магнитно-резонансной томографии – многоплоскостное исследование, позволяющее выполнить в оптимальной плоскости сканирование каждой структуры голеностопного сустава, подавление жировой ткани, использование контрастного исследования, увеличивающих точность диагноза при посттравматических изменениях.
Для того чтобы точно определить целостность связки, необходимо получить ее изображение по длинной оси на всем протяжении. Наоборот, чтобы оценить структуру и целостность сухожилия, получают изображение строго перпендикулярно ходу ее волокон, т. е. по короткой оси. В норме связки на МР- томограммах визуализируются как тонкие линейные структуры, чаще однородной структуры, которые характеризуются однородным гипоинтенсивным во всех ее последовательностях МР-сигналом. При утолщении неоднородной структуры связки предполагают ее повреждение.
Для оценки целостности суставного хряща, конгруэнтности суставной поверхности костей, образующих голеностопный сустав, получают изображение перпендикулярно его плоскости.
На рис. 4.14 и 4.15 представлено МРТ голеностопного сустава и стопы – фронтальный и сагиттальный срезы соответственно.
На рис.4.14 представлена МРТ голеностопного сустава и стопы — фронтальный срез, коронарная проекция.

Рис. 4.14. МРТ голеностопного сустава и стопы. Фронтальная плоскость, коронарная проекция:
1. блок таранной кости (trochlea tali); 2. большеберцовая кость (tibia); 3. голеностопный сустав (art. talocruralis); 4. длинный разгибатель пальцев (m. extensor digitorum longus); 5. длинный сгиба- тель пальцев (m. flexor digitorum longus); 6. короткий разгибатель пальцев (m. extensor digitorum brevis); 7. короткий сгибатель пальцев (m. flexor digitorum brevis); 8. медиальная лодыжка (malleolus medialis); 9. мышца, отводящая большой палец стопы (m. abductor hallucis); 10. пяточная кость (calcaneus).
В боковых медиальных отделах голеностопного сустава непосредственно под медиальной лодыжкой визуализируется дельтовидная связка (ligg. deltoideum) к которой плотно прилежит сухожилие m. tibialis posterior.
Позади дистального отдела латеральной лодыжки находится сухожилие m. perоneus longus, m.perоneus brevis они удерживаются позади лодыжки благодаря retinaculum peroneus superior. Вырезка в латеральной лодыжке также способствует их стабильности. При компьютерной томографии — они визуализируются только при обызвествлении (А.Ю. Васильев с соавт.,2003)
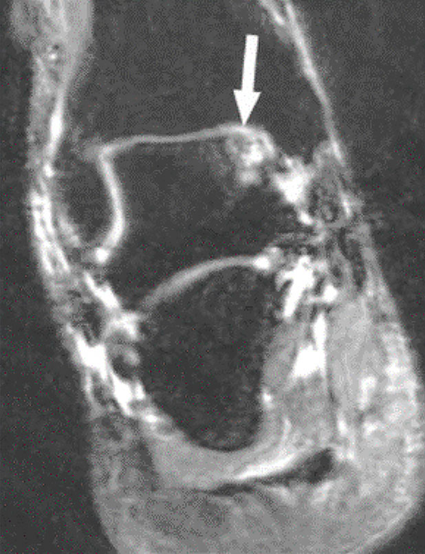
На рис.4.15. представлена МРТ голеностопного сустава и стопы — сагиттальный срез.

| Рис. 4.15. МРТ голеностопного сустава и стопы. Сагиттальная плоскость:
1. голеностопный сустав (art. talocruralis); 2. блок таранной кости (trochlea tali); 3. головка таранной кости(caput tali); 4. синус таранной кости (sinus tali); 5. таранно-ладьевидная связка (lig. talonaviculare); 6. таранно-пяточно ладьевидный сустав (art. talocal- caneonavicularis);7. ладьевидная кость (os naviculare); 8. большеберцовая кость(tibia); 9. передняя большеберцовая мышца (m. tibialis anterior); 10. промежуточная клиновидная кость (os cuneiforme intermedium; 11. II плюсневая кость (os metatarsi II); 12. камбаловидная мышца (m.soleus); 13. длинный сгибатель большого пальца (m. flexor hallucis longus); 14. длинный сгибатель пальцев (m. flexor digitorum longus); 15. пяточная кость (calcaneus); 16.короткий сгибатель пальцев (m. flexor digitorum brevis); 17. кубовидная кость (os cuboide- um);18. мышца, отводящая мизинец стопы (m. abductor digiti minimi); 19. латеральная клиновидная кость (os cuneiforme laterale); |
| На рис.4.16. представлена аксиальная МРТ голеностопного сустава — на уровне дистального межберцового синдесмоза. |

| Рис.4.16. МРТ голеностопного сустава — на уровне межберцового синдесмоза. Аксиальная плоскость:
1. латеральная лодыжка; 2. медиальная лодыжка; 3. tendo m. tibialis anterior; 4. tendo extensor hallucis longus; 5. tendo m. extensor digitorum longus; 6. lig. tibiofibularia anterior; 7. anterior m. peroneus tertius; 8. tendo m. peroneus brevis; 9. tendo m. peroneus longus; 10. n. suralis; 11.lig. tibiofibularia posterior; 12. ахиллово сухожилие; 13. tendo m. flexor hallucis longus; 14. m. flexor digitorum longus;15. tendo m. tibialis posterior; 16. v. saphena magna; 17. retinaculum extensorum inferius; 18.a. tibialis mosis tibiofibularis. |
По данным некоторых авторов (Sungjun Kim et. All., 2004), связочный аппарат дистального межберцового синдесмоза на МРТ – изображениях, в виду косого расположения волокон передней и задней межберцовых связок, необходимо исследовать на двух уровнях. Для визуализации места прикрепления передней межберцовой связки к большеберцовой кости, поперечный срез должен проходить на 1- 1,5 см проксимальнее суставной щели голеностопного сустава, на рис. 4.17 обозначен сплошной линией. Для определения места прикрепления передней межберцовой связки к малоберцовой кости аксиальный срез должен проходить на уровне дистальной суставной поверхности большеберцовой кости, на рис. 4.17 обозначен пунктирной линией.

| Рис. 4.17 Уровни аксиального МРТ – изображения для визуализации мест прикрепления передней межберцовой связки. |
| При МР — томографии в аксиальной плоскости (рис.4.18 А) на уровне межберцового синдесмоза (sindesmosis tibiofibularis), передняя большеберцово-малоберцовая связка (lig. tibiofibularia anterior) визуализируется в виде тонкого, 2 – 4 мм тяжа волокнистой структуры, соединяющий передние контуры берцовых костей. Рис. 4.18 А показано место прикрепления передней межберцовой связки к большеберцовой кости, а на (рис.4.18 В) показано место прикрепления передней межберцовой связки к малоберцовой кости
Задняя большеберцово-малоберцовая связка (lig. tibiofibularia posterior) определяется в виде тяжа тонкой 1-3мм ленты, соединяющего задние контуры берцовых костей на уровне дистальной суставной поверхности. На сагиттальных сканах визуализируется в виде образования округлой или неправильной формы до 4 мм, расположена практически под задним краем большеберцовой кости (Н.К. Витько 2003). |

| Рис. 4.18 А. Место прикрепления передней межберцовой связки к большеберцовой кости |

| Рис.4.18 Б. Место прикрепления передней межберцовой связки к малоберцовой кости |
| МРТ — изображение передней межберцовой связки делится на две части внутрисуставную до уровня дистальной суставной поверхности большеберцовой кости. Внесуставная часть расположена ниже суставной щели голеностопного сустава и в некоторых случаях может не визуализироваться (Рис. 4.19) [Sungjun Kim et all., 2004]. |

| Рис. 4.19 Внесуставная часть передней межберцовой связки |
На аксиальной проекции протон усиленной МРТ дистального межберцового синдесмоза (рис. 4.20) его конгруэнтность определяется по суставным поверхностям берцовых костей, которые должны быть гладкими и ровными, параллельными друг друга на всем протяжении, на рис. 4.20 показано стрелками. Края малоберцовой вырезки большеберцовой кости и края малоберцовой кости должны совпадать.
При имеющейся инконгруэнтности в области дистального межберцового синдесмоза, сочленяющиеся суставные поверхности берцовых костей будут имеет не параллельное расположение к друг другу, расхождение краев, диастаз между берцовыми костями.

| Рис. 3.20 МРТ дистального межберцового синдесмоза в аксиальной проекции. |
Признаком повреждения дистального межберцового синдесмоза является изменение его высоты. Высота дистального межберцового синдесмоза измеряется в сантиметрах в коронарной проекции, Т2 режиме (рис. 4.21.) В норме до 2 см. Измеряется расстояние от купола таранной кости до максимального уровня жидкости в межберцовом промежутке [J. Mark Evans et all. 2006].

| Рис. 4.21. Измерение уровня суставной жидкости дистального межберцового синдесмоза. |
Повреждения связок дистального межберцового синдесмоза имеет ряд характерных особенностей, выявляемых при МРТ, которые зависят от давности повреждения.
МРТ — критерии диагностики острых разрывов межберцовых связок включают изменения интенсивности сигнала внутри и вокруг связок, утолщение и разволокнение межберцовых связок, прерывистость их волокон, исчезновение жировых включений в структуре связок, признаки отека окружающих мягких тканей, жидкость в области дистального межберцового синдесмоза, отек костного мозга внутренних контуров большеберцовой и малоберцовой костей в местах прикрепления межберцовых связок
Передняя межберцовая связка наиболее часто подвержена травмам, поэтому должна быть тщательно осмотрена в первую очередь (Kevin V. Browun 2003).
Повреждение передней межберцовой связки (lig. tibiofibularia anterior) , при остром повреждении, определяется отеком вокруг или внутри связки (Рис. 4.22 а,б), на рисунке показано стрелками.

| Рис. 4.22 А,Б МРТ голеностопного сустава — на уровне межберцового синдесмоза. Аксиальная плоскость. Острое повреждение передней межберцовой связки (lig. tibiofibularia anterior). |
| А — аксиальная протон плотно-усиленный быстрая спин-эхо картина межберцового синдесмоза, стрелкой показано повреждение передней межберцовой связки. Этот критерий специфичен для ее острого повреждения.
Б — аксиальная жиро-подавленная Т2-усиленная быстрая спин-эхо картина межберцового синдесмоза, стрелкой показан отек вокруг передней межберцовой связки. |

Рис.4.23-4.24 МР-томограммы голеностопного сустава. А — интактная передняя таранно-малоберцовая связка. В — нестабильность голеностопного сустава, связанная с разрывом передней таранно-малоберцовой связки (стрелка).
| Разрыв задней межберцовой связки (lig. tibiofibularia posterior) сопровождающийся контузией костного мозга купола таранной кости представлен на рис. 4.25 |
Рис. 4.25. Разрыв задней межберцовой связки сопровождающийся контузией костного мозга купола таранной кости.
Большой информативностью магнитно-резонансная томография обладает при диагностике повреждений гиалинового хряща, контузии кости, стрессовых переломах и остеохондральных повреждениях. Высокая контрастность изображения гиалинового хряща при МРТ в совокупности с трехмерной реконструкцией позволяет визуализировать его изменения, не визуализирующиеся ни одним другим методами лучевой диагностики. МР-томография позволяет выявить: микротравму трабекулярной кости по типу «контузии костного мозга», отделение хряща от подлежащей кости при травме суставной поверхности, судить о жизнеспособности костного фрагмента, о стабильности между остеохондральным фрагментом и местом — донором, о локализации костного фрагмента при его смещении в полость сустава (Naran K.N., Zuga A.C.,2008).
Повреждения наружного связочного комплекса голеностопного сустава может сочетаться с другими повреждениями: частичным или полным разрывом сухожилий длинной или короткой малоберцовой мышц, хондральными переломами таранной кости, остеохондральными переломами голеностопного сустава, повреждениями медиального связочного аппарата, межберцового синдесмоза и раздвоенной связки. Также описаны сочетания с отрывными переломами основания 5 плюсневой кости со смещением или без такового, компрессионными повреждениями пяточно-кубовидного сустава или отрывами других связок.
Причиной возникновения остеохондральных переломов являются единичные травматические повреждения или синдром перегрузки на таранную кость. Типичными местами возникновения остеохондральных переломов являются передненаружный и задневнутренний отделы блока таранной кости. Их локализация определяется механизмом травмы: наружная ротация стопы в голеностопном суставе с ушибом блока таранной кости о медиальную и латеральную лодыжки.
При МР-томографии Т2-ВИП остеохондрального перелома определяется неоднородное повышение сигнала, как в щели перелома, так и вокруг нее. Края перелома костей сохраняют изо — или гипоинтенсивность. К примеру, остеохондральное повреждение медиального купола таранной кости, представлено на выполненной аксиальной МРТ голеностопного сустава — на уровне межберцового синдесмоза и стопы (Рис. 4.26 а, б).

| Рис. 4.26 А,Б. МРТ голеностопного сустава — на уровне межберцового синдесмоза и стопы. Аксиальная плоскость. Хроническое повреждение передней межберцовой связки и остеохондральное повреждение медиального купола таранной кости. |
| А – аксиальная протон увеличенной плотности быстрая спин-эхо картина, показано утолщение передней межберцовой связки (длинная стрелка), отсутствие окружающего отека связки. Это признак ее хронического повреждения. Остеохондральное повреждение (короткая стрела) медиального купола таранной кости.
Б – аксиальная Т2 – усиленная картина голеностопного сустава, показывает отсутствие окружающего отека связки при хроническом повреждении передней межберцовой связки. Остеохондральное повреждение (короткая стрела) медиального купола таранной кости. |
Хронические разрывы передней межберцовой связки характеризуются отсутствием локального отека, утолщением и прерывистостью контура связки. показано на рис. 4.26А длинной стрелкой, а остеохондральное повреждение медиального купола таранной кости, короткой стрелкой на рис. 4.26Б
| Остеохондральное повреждение медиального купола таранной кости, представлено на МР — томограмме голеностопного сустава выполненной в коронарной проекции (Рис. 4.27), показано стрелкой |

| Рис. 4.27. МРТ голеностопного сустава. Коронарная проекция. Остеохондральное повреждение таранной кости. Коронарная жироподавленная Т2-усиленная быстрая спин-эхо-картина ГСС, показывающая субхондральный гиперинтенсивный фокус (стрелкой) купол таранной кости |
Перелом латерального отростка таранной кости, известный также как перелом сноубордиста, проявляется симптоматикой повреждения наружного отдела голеностопного сустава и может напоминать тяжелое повреждение наружных связок голеностопного сустава (рис.4.28-4.31). При осмотре пациентов и интерпретации их рентгенограмм всегда следует помнить о возможности и такого повреждения, которое встречается гораздо реже. Полного разрыва нервных стволов при повреждении связочного аппарата не описано, хотя посттравматические невриты икроножного нерва, поверхностного малоберцового нерва, глубокого малоберцового нерва и заднего большеберцового нерва встречаются относительно нередко.

Рис.4.28-4.31 Профессиональный сноубордист с переломом латерального отростка таранной кости, которому первично в отделении неотложной помощи был выставлен диагноз связочного повреждения голеностопного сустава. А— на рентгенограмме в прямой проекции стрелкой показан перелом. В — тот же перелом на рентгенограмме в боковой проекции (стрелка). С — на МР-томограмме в аксиальной плоскости стрелкой показан костный фрагмент. D — тот же костный фрагмент на МР-томограмме в сагиттальной плоскости (стрелка).
Литературные данные и наш клинический опыт хирургического лечения говорят нам о том, что наиболее часто из всех связок голеностопного сустава подвержена повреждению передняя таранно-малоберцовая связка. Большинство ее повреждений – это разрывы на протяжении, хотя встречаются и отрывы связки с костными фрагментами от малоберцовой или таранной кости.
Вторым по распространенности типом повреждения является сочетанный разрыв передней таранно-малоберцовой связки и пяточно-малоберцовой связки. Пяточно-малоберцовая связка также чаще всего рвется на протяжении, однако встречаются и отрывы ее от малоберцовой или пяточной кости. Изолированные разрывы пяточно-малоберцовой связки встречаются нечасто, однако они описаны и могут играть значение при развитии поздней нестабильности подтаранного сустава. Еще реже встречаются сочетанные разрывы всех латеральных связок голеностопного сустава. Изолированные повреждения задней таранно-малоберцовой связки и сочетанные повреждения задней таранно-малоберцовой связки и пяточно-малоберцовой связки встречаются еще реже.
Таким образом, магнитно-резонансная томография позволяет расширить представление о травматических повреждениях в области голеностопного сустава с учетом многообразия возникающих морфологических изменений.
Основной недостаток магнитнорезонансной томографии, по сравнению с компьютерной томографией и даже рентгенографией, в том, что МРТ не может быть использована при наложении большинства металлоконструкций. После снятия металлических аппаратов, удаления винтов, стержней и спиц сохраняющиеся в тканях микроскопические металлические фрагменты создают порой выраженные артефакты. Артефакты металлической стружки представляют собой фокусы пониженной интенсивности в центре с ярким гиперинтенсивным halo по периферии, симулирующим отек и кровоизлияние (Н. К. Витько с соавт.,2002; R. H. Daffner, 1990; S. Farooki,2002; N. Schwarz, E. Kofer, 2005;J. M. Evans, W. G. Schygany, 2006).
Заканчивая этот раздел, хочется подчеркнуть, что одной из основных причин не всегда эффективного лечения повреждений в области голеностопного сустава является недостаточная комплексная клинико-рентгенологическая диагностика.
При поступлении пациента в стационар или травмпункт при подозрении на повреждение в области голеностопного сустава всем пациентам следует выполнять рентгенографию поврежденного голеностопного сустава в трех стандартных проекциях: прямой проекции, проекции «гнезда» (mortise) и боковой проекции. В проекции «гнезда» стопу больного следует располагать таким образом, чтобы бимоллеолярная линия голеностопного сустава была параллельна плоскости кассеты. В боковой проекции стопу больного следует располагать таким образом, чтобы бимоллеолярная линия голеностопного сустава была перпендикулярна плоскости кассеты. При этом рентгенологический луч должен проходить строго вдоль межлодыжечной линии на уровне суставной щели поврежденного голеностопного сустава.
При костно-связочном повреждении медиального комплекса голеностопного сустава дополнительно следует сделать рентгенограммы проксимального отдела голени для исключения надсиндесмозных переломов малоберцовой кости и повреждения дистального межберцового синдесмоза. Возможно применение рентгеноскопии области поврежденного голеностопного сустава для исследования в нестандартных укладках.
Компьютерную томографию (КТ) голеностопного сустава следует делать, когда необходимо точно определить общую площадь повреждения суставной поверхности дистального метаэпифиза большеберцовой кости, положение отломков лодыжек, блока таранной кости, положение малоберцовой кости относительно межберцовой вырезки большеберцовой кости.
Магнитно-резонансную томографию (МРТ) голеностопного сустава проводят для определения тяжести повреждения не только костных, но и мягкотканных структур – связок, сухожилий, мышечных футляров, нервных стволов, а также их патологических изменений, включая признаки воспаления, зоны остеонекроза и отека костного мозга. МРТ голеностопного сустава необходимо проводить при сомнительных результатах рентгенографии и КТ.
МРТ во многих случаях позволяет заменить КТ, артрографию и тенографию и обеспечивает отличную визуализацию связочных структур, сухожилий, суставного хряща и костных образований. В различных исследованиях отмечается, что МРТ позволяет увидеть периартикулярные кровоизлияния, отек, нарушение структуры, волнистый контур или признаки полного разрыва связок, что коррелирует с клиническими и операционными находками. МРТ дает возможность оценить степень связочного повреждения и отследить процесс заживления после проведенного лечения.
Применение различных методик лучевой диагностики позволяет недостатки одного метода компенсировать диагностическими возможностями других. Проведение клинико-диагностического поиска с использованием современных методов лучевой диагностики – рентгенографии, компьютерной томографии, магнитно-резонансной томографии – необходимо для получения наиболее достоверного диагностического заключения у пациентов с повреждениями в области голеностопного сустава, что следует учитывать при выборе метода лечения и их реабилитации.
АРТРОСКОПИЯ ГОЛЕНОСТОПНОГО СУСТАВА
У большинства пациентов, перенесших супинационную травму, обнаруживается повреждение суставного хряща переднего края большеберцовой кости, переднего края внутренней лодыжки и медиальной суставной фасетки таранной кости. В зависимости от степени повреждения развивается в той или иной мере выраженная репаративная реакция, характеризующаяся пролиферацией хрящевых клеток, формированием рубцовых изменений, кальцификацией и постепенным развитием остеофитов. Дополнительные повреждения на фоне рецидивирующей нестабильности голеностопного сустава или повторяющиеся нагрузки, особенно связанные с избыточным тыльным сгибанием голеностопного сустава, ускоряют эти процессы. Наличие остеофитов не всегда связано с жалобами пациента. Бессимптомные остеофиты голеностопного сустава обнаруживаются у 50% спортсменов. Артроскопическая резекция клинически значимых остеофитов характеризуется хорошими и отличными результатами в более, чем 90% случаев [Van Dijk et al.,1997; Takao M., 2015]. Определение выраженности дегенеративных изменений голеностопного сустава у пациентов с хронической нестабильностью является важным моментом для прогнозирования функции сустава в отдаленном периоде [Van Dijk et al., 1997].
Рис. 4.32 и 4.33 Данным двум пациентам из группы последовательно оперированных 30 пациентов через 5 дней после супинационной травмы голеностопного сустава, сопровождавшейся повреждением наружных связок сустава, была выполнена диагностическая артроскопия. У большинства пациентов из этой группы обнаружено повреждение хряща в области верхушки и переднего края внутренней лодыжки и соответствующих им участках медиальной фасетки таранной кости.
На рис. 4.32 представлен случай 32-летней женщины, за 5 дней до операции получившей супинационную травму, которая привела к повреждению наружных связок голеностопного сустава. Артроскоп находится в антеролатеральном порте и направлен вдоль медиального края таранной кости в сторону верхушки внутренней лодыжки. Видны признаки отслойки хряща в области верхушки лодыжки по типу скорлупы (b). Белая и черная стрелки указывают на поврежденный хрящ. На рентгенограмме в прямой проекции каких-либо изменений не видно (а). На рентгенограмме, выполненной 9 лет спустя, отмечается появление остеофитов на верхушке внутренней лодыжки и медиальной фасетке таранной кости (с).

Рис. 4.32 а – рентгенограмма в прямой проекции; б — артроскопия голеностопного сустава, выявлены признаки отслойки хряща в области верхушки лодыжки по типу скорлупы; с- рентгенограмма в прямой проекции спустя 9 лет
На рис. 4.33 представлен случай 24-летней женщины, 6 дней назад получившей супинационную травму левого голеностопного сустава. В ходе артроскопии через 6 дней после травмы выявлено компрессионное повреждение хряща на верхушке внутренней лодыжки и отслоенный хрящевой лоскут медиальной фасетки таранной кости, под которым видна субхондральная кость (b и c). На рентгенограмме патологии не выявлено (а).

Рис. 4.33 а – рентгенограмма в прямой проекции; б, с — артроскопия голеностопного сустава, выявлены выявлено компрессионное повреждение хряща на верхушке внутренней лодыжки и отслоенный хрящевой лоскут медиальной фасетки таранной кости.
При определении показаний к хирургическому лечению хронической нестабильности голеностопного сустава нередко применяется ряд количественных рентгенологических характеристик. Контрастная артрография и тенография сухожилий малоберцовых мышц относительно малоинформативны в отношении оценки протяженности повреждений связок и сухожилий при острых повреждениях, поэтому проведение их нецелесообразно и в настоящее время они применяются редко. Стандартизованные стресс-рентгенограммы могут использоваться как для дифференциальной диагностики, так выбора метода лечения. Основным их недостатком является ограниченная корреляция между функциональной стабильностью голеностопного сустава и его гипермобильностью, определяемой в ходе исследования.
Бессараб М.С.

Лечение стопы и голеностопного сустава в Москве